OMFT; wat is dat?

Tijd om voor opheldering te zorgen dus!
Betekenis
OMFT staat voor oro-myofunctionele therapie. Een hele mond vol!
Het is een therapie gericht op het herstellen van een verstoord evenwicht in het functioneren van de spieren in en om de mond. De stand van de tanden en de vorm van het gezicht wordt voor een groot deel bepaald door de functie van de spieren in en om de mond.
Afwijkende mondgewoonten kunnen het evenwicht verstoren, dit kan lijden tot een verkeerde tongpositie in rust, tijdens slikken of tijdens spreken en dat kan invloed hebben op de stand van de tanden.
Maar wat zijn dan verkeerde mondgewoonten?
Hierbij moet je denken aan door je mond ademen, duimen, vingerzuigen, verkeerd slikken (met de tong tegen of tussen de tanden) of slissen.
Bij kinderen die nog de speen gebruiken of duimen zie je vaak de afdruk van de speen of duim in het gehemelte, de bovenkaak is dan wat spits. Een duim of speen duwt de tong naar beneden en zorgt ervoor dat deze slap wordt en dat bij het slikken de tong niet naar boven gaat, maar tegen of tussen de tanden komt. En dit zorgt dan weer voor de verplaatsing van de tanden; heel belangrijk dus om het spenen, het duimen of het vingerzuigen dus snel af te leren.
We zullen later hier nog wat dieper op ingaan, genoeg om over te vertellen namelijk!
Open mondgedrag en door de mond ademen zorgt ook voor een verkeerde tongpositie. Wanneer je de mond open hebt, dan ligt de tong onderin de mond. Dit zorgt er ook voor dat de tong slap wordt en niet in de juiste positie bij het slikken komt. Daarnaast is mond ademen nog voor veel meer dingen slecht, ook hierover later meer.
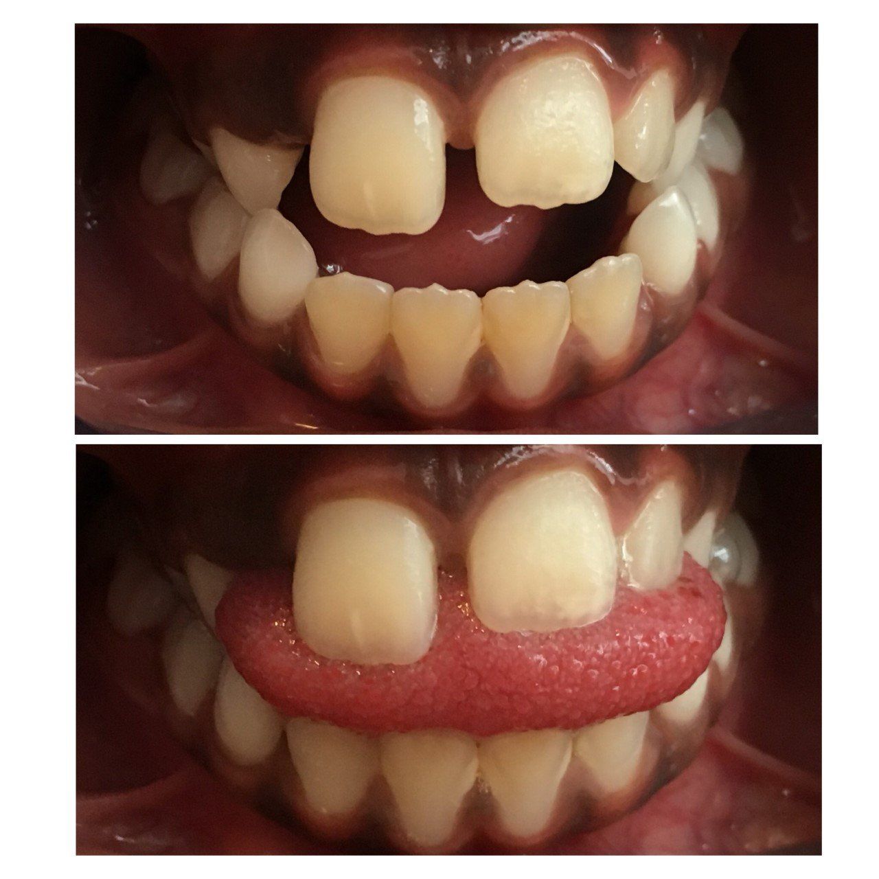
Eerst even wat voorbeelden uit onze praktijk. Hierbij zie je duidelijk de invloed van de tong (het verkeerde slikken) op de tanden.
Wat kan de logopedist hieraan doen?
Na uitgebreid onderzoek om de oorzaak te bepalen start de behandeling. De behandeling is gericht op het afleren van de afwijkende mondgewoonten, als hier sprake van is. Wellicht is de oorzaak (duimen, vingerzuigen, speengebruik, enz.) al gestopt, maar is de verkeerde tongpositie wel gebleven. Daarna is er aandacht voor het versterken van de verzwakte spieren en het aanleren van een correcte tongpositie in rust, tijdens slikken en tijdens spreken. Er moet een nieuwe gewoonte aangeleerd worden, dus er moet thuis flink geoefend worden. Wekelijks wordt gekeken hoe het ervoor staat en worden nieuwe oefeningen meegeven.
Zo'n behandeltraject door (als je goed oefent) ongeveer 3 maanden, na 3 maanden vindt er nog een controle plaats en als het goed is ben je dan klaar!
Zijn jullie ook benieuwd naar wat behaalde resultaten..... En dit met alleen logopedie! Super toch!?









